Role of ‘Intermuscular’ FatHidden Fat in Muscles Linked to Higher Heart Disease Risk
Source:
European Society of Cardiology
5 min Reading Time
New research reveals that intermuscular fat, often overlooked by traditional metrics like BMI, significantly increases the risk of heart attacks and heart failure. The findings, published in the European Heart Journal, underscore the need for better risk assessment tools and personalized treatments to address the dangers of fatty muscle tissue.
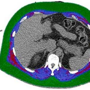
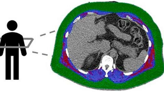
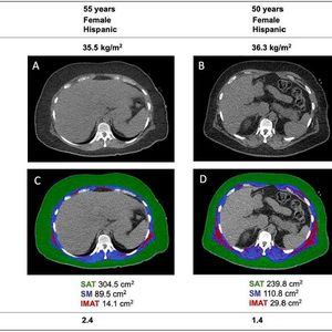
Researchers used CT scans to analyse each patient’s body composition, measuring the amounts and location of fat and muscle in a section of their torso.
(Source: Vivianty Taqueti/ European Heart Journal)
People with pockets of fat hidden inside their muscles are at a higher risk of dying or being hospitalised from a heart attack or heart failure, regardless of their body mass index, according to research published in the European Heart Journal. This ‘intermuscular’ fat is highly prized in beef steaks for cooking. However, little is known about this type of body fat in humans, and its impact on health. This is the first study to comprehensively investigate the effects of fatty muscles on heart disease.
The new finding adds evidence that existing measures, such as body mass index or waist circumference, are not adequate to evaluate the risk of heart disease accurately for all people.
Gallery
The new study was led by Professor Viviany Taqueti, Director of the Cardiac Stress Laboratory at Brigham and Women's Hospital and Faculty at Harvard Medical School, Boston, USA. She said: “Obesity is now one of the biggest global threats to cardiovascular health, yet body mass index – our main metric for defining obesity and thresholds for intervention – remains a controversial and flawed marker of cardiovascular prognosis. This is especially true in women, where high body mass index may reflect more 'benign' types of fat.
“Intermuscular fat can be found in most muscles in the body, but the amount of fat can vary widely between different people. In our research, we analyse muscle and different types of fat to understand how body composition can influence the small blood vessels or ‘microcirculation’ of the heart, as well as future risk of heart failure, heart attack and death.”
The new research included 669 people who were being evaluated at the Brigham and Women’s Hospital for chest pain and/or shortness of breath and found to have no evidence of obstructive coronary artery disease (where the arteries that supply the heart are becoming dangerously clogged). These patients had an average age of 63. The majority (70 %) were female and almost half (46 %) were non-white.
All the patients were tested with cardiac positron emission tomography/computed tomography (PET/CT) scanning to assess how well their hearts were functioning. Researchers also used CT scans to analyse each patient’s body composition, measuring the amounts and location of fat and muscle in a section of their torso.
To quantify the amount of fat stored within muscles, researchers calculated the ratio of intermuscular fat to total muscle plus fat, a measurement they called the fatty muscle fraction.
Patients were followed up for around six years and researchers recorded whether any patients died or were hospitalised for a heart attack or heart failure.
Researchers found that people with higher amounts of fat stored in their muscles were more likely to have damage to the tiny blood vessels that serve the heart (coronary microvascular dysfunction or CMD), and they were more likely to go on to die or be hospitalised for heart disease. For every 1 % increase in fatty muscle fraction, there was a 2 % increase in the risk of CMD and a 7 % increased risk of future serious heart disease, regardless of other known risk factors and body mass index.
People who had high levels of intermuscular fat and evidence of CMD were at an especially high risk of death, heart attack and heart failure. In contrast, people with higher amounts of lean muscle had a lower risk. Fat stored under the skin (subcutaneous fat) did not increase the risk.
Professor Taqueti said: “Compared to subcutaneous fat, fat stored in muscles may be contributing to inflammation and altered glucose metabolism leading to insulin resistance and metabolic syndrome. In turn, these chronic insults can cause damage to blood vessels, including those that supply the heart, and the heart muscle itself.
“Knowing that intermuscular fat raises the risk of heart disease gives us another way to identify people who are at high risk, regardless of their body mass index. These findings could be particularly important for understanding the heart health effects of fat and muscle-modifying incretin-based therapies, including the new class of glucagon-like peptide-1 receptor agonists.
“What we don’t know yet is how we can lower the risk for people with fatty muscles. For example, we don’t know how treatments such as new weight-loss therapies affect fat in the muscles relative to fat elsewhere in the body, lean tissue, and ultimately the heart.”
Professor Taqueti and her team are assessing the impact of treatments strategies including exercise, nutrition, weight-loss drugs or surgery, on body composition and metabolic heart disease.
In an accompanying editorial [2], Dr Ranil de Silva from Imperial College London and colleagues said: “Obesity is a public health priority. Epidemiologic studies clearly show that obesity is associated with increased cardiovascular risk, though this relationship is complex.
Date: 08.12.2025
Naturally, we always handle your personal data responsibly. Any personal data we receive from you is processed in accordance with applicable data protection legislation. For detailed information please see our privacy policy.
Consent to the use of data for promotional purposes
I hereby consent to Vogel Communications Group GmbH & Co. KG, Max-Planck-Str. 7-9, 97082 Würzburg including any affiliated companies according to §§ 15 et seq. AktG (hereafter: Vogel Communications Group) using my e-mail address to send editorial newsletters. A list of all affiliated companies can be found here
Newsletter content may include all products and services of any companies mentioned above, including for example specialist journals and books, events and fairs as well as event-related products and services, print and digital media offers and services such as additional (editorial) newsletters, raffles, lead campaigns, market research both online and offline, specialist webportals and e-learning offers. In case my personal telephone number has also been collected, it may be used for offers of aforementioned products, for services of the companies mentioned above, and market research purposes.
Additionally, my consent also includes the processing of my email address and telephone number for data matching for marketing purposes with select advertising partners such as LinkedIn, Google, and Meta. For this, Vogel Communications Group may transmit said data in hashed form to the advertising partners who then use said data to determine whether I am also a member of the mentioned advertising partner portals. Vogel Communications Group uses this feature for the purposes of re-targeting (up-selling, cross-selling, and customer loyalty), generating so-called look-alike audiences for acquisition of new customers, and as basis for exclusion for on-going advertising campaigns. Further information can be found in section “data matching for marketing purposes”.
In case I access protected data on Internet portals of Vogel Communications Group including any affiliated companies according to §§ 15 et seq. AktG, I need to provide further data in order to register for the access to such content. In return for this free access to editorial content, my data may be used in accordance with this consent for the purposes stated here. This does not apply to data matching for marketing purposes.
Right of revocation
I understand that I can revoke my consent at will. My revocation does not change the lawfulness of data processing that was conducted based on my consent leading up to my revocation. One option to declare my revocation is to use the contact form found at https://contact.vogel.de. In case I no longer wish to receive certain newsletters, I have subscribed to, I can also click on the unsubscribe link included at the end of a newsletter. Further information regarding my right of revocation and the implementation of it as well as the consequences of my revocation can be found in the data protection declaration, section editorial newsletter.
“In this issue of the Journal, Souza and colleagues hypothesize that skeletal muscle quantity and quality associate with CMD and modify its effect on development of future adverse cardiovascular events independent of body mass index (BMI).
“In this patient population who were predominantly female and had a high rate of obesity, the main findings were that increasing levels of intermuscular adipose tissue (IMAT) were associated with a greater occurrence of CMD, and that the presence of both elevated IMAT and CMD was associated with the highest rate of future adverse cardiovascular events, with this effect being independent of BMI.
“The interesting results provided by Souza et al are hypothesis generating and should be interpreted in the context of several limitations. This is a retrospective observational study. Whilst a number of potential mechanisms are suggested to explain the relationship between elevated IMAT and impaired coronary flow reserve, these were not directly evaluated. In particular, no details of circulating inflammatory biomarkers, insulin resistance, endothelial function, diet, skeletal muscle physiology, or exercise performance were given.
“The data presented by Souza et al are intriguing and importantly further highlight patients with CMD as a population of patients at increased clinical risk. Their work should stimulate further investigation into establishing the added value of markers of adiposity to conventional and emerging cardiac risk stratification in order to identify those patients who may benefit prognostically from targeted cardiometabolic interventions.”
Original Article: Skeletal muscle adiposity, coronary microvascular dysfunction, and adverse cardiovascular outcomes; European Heart Journal; DOI:10.1093/eurheartj/ehae827