German China

Hidden Fat in Muscles Linked to Higher Heart Disease Risk

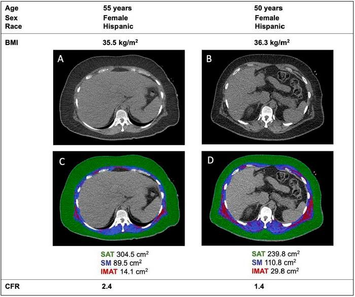
Back to the Article